تجهیزات دندانپزشکی تاج الدین
ورود به حساب کاربری
0 محصولات
نمایش سبد خرید
سبد خرید شما خالی است.
خانه
خانه
اخبار
درباره ما
تماس با ما
فروشگاه
کانال تلگرام
پیچ اینستاگرام
لیست قیمت ها
اینسترومنت
سرتوربین
توربین فشاری
توربین آچاری
توربین 45 درجه
توربین نوری
توربین یکبار مصرف
آنگل
آنگل معمولی
آنگل اندولیفت
آنگل روتاری
آنگل ایمپلنت
ایرموتور
هندپیس مستقیم
ست اینسترومنت
لوازم جانبی اینسترومنت ها
یونیت و روتور
یونیت
شلنگ از بالا
شلنگ از پایین
مینی یونیت
مینی یونیت
میکرو یونیت
تجهیزات مرتبط یونیت
چراغ یونیت
بازو یونیت
سینی یونیت
روتور و سرویتور
روتور
سرویتور
کابینت
تابوره
سایر تجهیزات
تصویربرداری
رادیوگرافی
پایه دار (ایستاده)
دیواری
پرتابل (دستی)
سنسور دیجیتال
RVG
فسفر پلیت
لوپ
لوپ چشمی
لوپ ذره بینی
دوربین و مانیتور
دوربین داخل دهانی
مانیتور
all in one
بازو مانیتور
بازو رادیوگرافی
پاراوان سربی
روپوش و پیشبند سربی
نگاتسکوپ
تاریک خانه
تشخیص پوسیدگی
استریل
اتوکلاو
اتوکلاو کلاس B
اتوکلاو کلاس N
فور
دستگاه پک
نشانگر (اندیکاتور)
اندیکاتور اتوکلاو
اندیکاتور فور
اندیکاتور اتیلن اکساید
بخار ساز اولتراسونک
ازن ژنراتور
آب مقطر ساز
تستر آب مقطر
تمیز کننده التراسونیک
تصفیه هوا
اندو و جراحی
موتور ایمپلنت و جراحی
موتور ایمپلنت
میکروموتور جراحی
پیزوسرجری و الکتروسرجری
پیزوسرجری
الکتروسرجری
آبچراتور و ایریگیشن
آبچوریشن
ایریگیشین (اکتیواتور)
اپکس و روتاری
اپکس لوکیتور (فایندر)
اندو روتاری
اپکس روتاری
پالپ تستر
لیزر
گوتا کاتر
ابزار خارج کردن فایل شکسته
عمومی
لایت کیور
لایت کیور LED
لایت کیور هالوژن
لایت متر
بلیچینگ
جرم گیر
جرمگیر معمولی
جرمگیر نوری (اپتیک)
ایر فلو
واترجت
آمالگاماتور
آمالگاماتور کپسولی
آمالگاماتور پودری
آمالگاماتور دو کاره
ساکشن
ساکشن شیشه ای
ساکشن تخلیه مستقیم
ساکشن مرکزی (سانترال)
ساکشن مکش هوای بیمار
سایر ساکشن ها
تجهیزات لابراتواری
اسکنر سه بعدی
اسکنر داخل دهانی
اسکنر لابراتواری (ثابت)
پرینتر و میلینگ
پرینتر سه بعدی
میلینگ
لوازم جانبی
کوره دندانسازی
کوره پرسلان
کوره سینترینگ
کوره حذف موم
وکیوم فرمر
ویبراتور
سانتریفوژ
تریمر
میکروموتور لابراتواری
جعبه تمیز
ترچ
سایر تجهیزات
کمپرسور دندانپزشکی
کمپرسور بدون روغن
کمپرسور یخچالی
دستگاه روغنکاری
سوزاننده سرسوزن
تجهیزات اندازه گیری
هدایای تبلیغاتی
UPS و استابلایزر
وارمر کامپوزیت
تجهیزات متفرقه
اقلام و مواد
اقلام یکبار مصرف
پک استریل و کاغذ اتوکلاو
شیلد و ماسک
مصرفی عمومی
اسپری
ابزار
جای فایل و فرز
کریر و گوده
فایل و فرز و پولیش
برس بروساژ
فایل روتاری
فرز آکریل بر
ارتودنسی
متفرقه اقلام و مواد
قطعات
ابزار کار
قطعات یونیت
قطعات اتوکلاو
قطعات لایت کیور
قطعات جرمگیر
قطعات آمالگاماتور
قطعات اینسترومنت ها
قطعات ساکشن
قطعات کمپرسور
رابط و اتصالات
شیر و کلید آب و هوا
شیلنگ
فشارسنج (گیج)
فیلتر
لامپ
خانه
/
نوشتههای برچسب شده “نمای بالینی”
نمای بالینی
0
اخبار
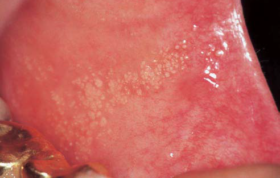
کوتاه درباره Fordyce granules
1399/02/03