عوارض دهانی داروها

دارو و درمان علیه دهان و دندان
ترجمه: دکتر آیدا روشنضمیر
همه میدانیم غذاهایی که مصرف میکنیم، روی وضعیت دهان ما اثر میگذارند، اما آیا داروها هم میتوانند اثری روی دهان و دندانها داشته باشند؟ دفعه بعد که خواستید دارویی بخورید، از خود بپرسید: «این دارو چه اثری روی دهان و دندانهای من دارد؟» همه داروها برای درمان به کار میروند اما همه آنها (چه خوراکی چه تزریقی، چه نسخهای و چه بینسخه) آثار جانبی متعددی دارند…
تاثیر آنها در بسیاری موارد، روی دهان و دندانهاست. تخمین زده میشود ۴۰ درصد افراد، حداقل یک دارو مصرف میکنند که روی دهان و دندانهایشان اثر میگذارد. با بالا رفتن سن، این احتمال بیشتر میشود. به همین دلیل لازم است علاوه بر پزشک، دندانپزشک نیز بداند بیمار چه داروهایی مصرف میکند. آشنایی دندانپزشک با این داروها و عوارض احتمالی آنها به او کمک میکند تشخیص دقیقتری بدهد و درمان مناسب را انتخاب کند.
در این مطلب به ۱۰ مورد از رایجترین عوارض دهانی داروها اشاره میکنیم:
۱. خشکی دهان
بزاق، فقط آب دهان نیست بلکه حاوی موادی است که باعث حفاظت از دندانها و دهان در برابر عوامل بیماریزا میشود اما برخی داروها باعث کم شدن آن و خشکی دهان میشوند. بیش از ۴۰۰ نوع دارو این اثر جانبی را دارند. وقتی بزاق کافی وجود نداشته باشد، بافتهای دهان ملتهب و تحریک و خطر عفونت، بیماری لثه و پوسیدگی دندانها بیشتر میشود. بعضی داروهای مسبب خشکی دهان آنتیهیستامینها، داروهای ضدافسردگی، داروهای پارکینسون، داروهای آلزایمر، بعضی مسکنها، بعضی داروهای
ضد؟ فشارخون، داروهای ضدصرع، ضداضطرابها، داروهای ضدتهوع و داروهای مخدر هستند.
خشکی دهان میتواند بسیار آزاردهنده باشد و مشکلات فراوانی برای بیمار ایجاد کند. نوشیدن مایعات فراوان، جویدن آدامسهای بدون قند و قرار دادن قطعههای کوچک یخ در دهان تا حدی میتواند مشکلات این بیماران را کم کند.
۲. عفونت قارچی
مصرف بعضی داروها باعث بروز عفونت قارچی (کاندیدیاز) در دهان میشود؛ مثل داروهای مصرفی در درمان آسم (اسپریهای استنشاقی)، بعضی آنتیبیوتیکها و داروهای شیمیدرمانی بنابراین لازم است پزشک به بیمار آموزش دهد بعد از استفاده از این داروها بهخصوص اسپریها، دهان خود را با آب بشوید تا احتمال بروز مشکل کمتر شود.
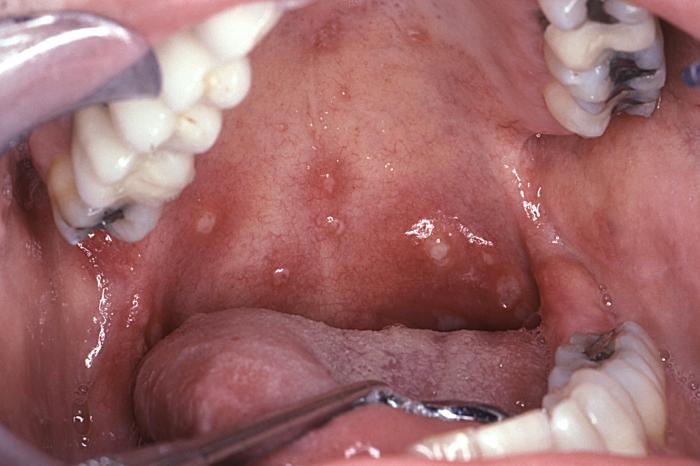
۳. افزایش حجم لثه
بعضی داروها باعث افزایش حجم لثه میشوند، درنتیجه لثه روی دندانها را میپوشاند و محیط مناسبی برای باکتریها ایجاد میکند که میتواند باعث بیماریهای لثه شود. این داروها شامل فنیتویین (ضدصرع)، سیکلوسپورین (برای جلوگیری از رد پیوند)، بعضی داروهای فشارخون (نفیدیپین، وراپامیل و دیلتیازم) است. احتمال بروز این آثار در مردها بیشتر است؛ بهخصوص اگر پلاک میکروبی وجود داشته باشد، این احتمال بیشتر میشود. رعایت بهداشت و مراجعه منظم به دندانپزشک به کاهش این اثر کمک میکند.
۴. التهاب لایه داخلی دهان
«موکوزیت» التهاب بافت مرطوب دهان و لوله گوارش است. این وضعیت اغلب بعد از شیمیدرمانی بروز میکند. پزشکان معتقدند بعضی داروهای شیمیدرمانی تغییرات بیولوژیکی ایجاد میکنند که باعث آسیب به سلولها میشود. موکوزیت التهابی دردناک در قسمت دهان و زبان است و میتواند زخمهای دهانی، خونریزی و درد ایجاد کند. این شرایط اغلب باعث مختل شدن غذا خوردن فرد میشود. اگر بیمار بعد از شیمیدرمانی الکل بنوشد، سیگار بکشد، به بهداشت دهان خود توجه نکند، مبتلا به دیابت، ایدز یا بیماری کلیوی باشد، بیشتر احتمال دارد دچار موکوزیت شود.
۵. زخمهای دهانی
زخم دهان، درون دهان یا روی زبان دیده میشود. زخمهای دهانی را به دهانه آتشفشان تشبیه میکنند چون سوراخی در وسط دارند و کنارههایشان برجسته است. داروهای شیمیدرمانی که باعث موکوزیت میشوند، میتوانند زخمهای دهانی نیز ایجاد کنند. سایر داروها عبارتند از: آسپیرین، پنیسیلین، فنیتویین و بعضی آنتیبیوتیکهای دیگر.
۶. تغییر حس چشایی
گاهی دارو میتواند باعث تغییر در حس مزه غذاها شود؛ مثلا مزه فلز، شوری یا تلخی در دهان ایجاد کند. این تغییرات حس چشایی در افراد مسنی که چند دارو را با هم مصرف میکنند، بیشتر است. این وضعیت اغلب موقت است و با قطع مصرف دارو از بین میرود. از جمله این داروها میتوان به داروهای شیمیدرمانی، داروهای آنتیهیستامین، بعضی آنتیبیوتیکها (مثل آمپیسیلین و تتراسایکلین)، داروهای ضدقارچ (مثل آمفوتریسین B)، داروهای ضدآسم، داروهای فشارخون (دیلتیازم)، کورتونها، داروهای ضدصرع و محصولات ترکسیگار (مثل پچ نیکوتین) اشاره کرد.
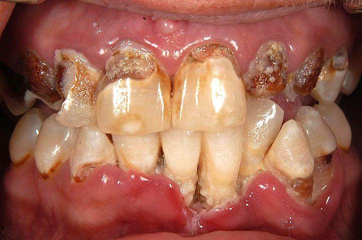
۷. پوسیدگی دندان و صدمه به مینا
شکر، یکی از مواد افزودنی در بسیاری داروهاست. از ویتامینها گرفته تا شربتهای ضدسرفه و… و استفاده طولانیمدت از این داروهای شیرین میتواند باعث پوسیدگی دندانها شود بنابراین لازم است بعد از مصرف این داروها، دهان را با آب شست یا در صورت امکان از انواع غیرشیرین آنها استفاده کرد. این خطر بهخصوص در کودکان بیشتر است و اگر کودک باید چنین داروهایی را به مدت طولانی مصرف کند، لازم است به او یادآوری شود هر بار دهانش را بشوید تا دندانها در معرض پوسیدگی قرار نگیرند.
آسپیرین، دارویی اسیدی است و جویدن آن میتواند باعث آسیب دیدن مینا شود. این دارو را باید طبق دستور پزشک مصرف کرد و آن را کنار یا روی دندانها قرار نداد. بعضی از داروهای استنشاقی آسم نیز اسیدی هستند و در صورت مصرف طولانیمدت ممکن است باعث صدمه به مینا شوند.
۸. تغییر رنگ دندان
در دهه ۵۰ میلادی، پزشکان دریافتند مصرف تتراسایکلین در دوران بارداری مادر، باعث تغییر رنگ قهوهای دندانها در فرزند او میشود. تتراسایکلین در کلسیمی که بدن برای ساخت دندان استفاده میکند، تهنشین میشود و زمانی که دندان میروید، رنگ زرد دارد و سپس در معرض نورخورشید، قهوهای میشود. البته اگر تتراسایکلین بعد از شکلگیری همه دندانها مصرف شود، تغییر رنگ ایجاد نمیکند. امروزه مصرف این دارو در بارداری و برای کودکان کمسن توصیه نمیشود. بعضی از داروهایی که باعث تغییر رنگ دندانها میشوند، کلرهگزیدین (دهانشویه)، داکسیسایکلین و تتراسایکلین هستند. فلوراید نیز مادهای است که باعث استحکام دندانها میشود. اما فلوراید زیاد هم میتواند تغییر رنگ و لکههای سفیدی بر سطح مینا ایجاد کند و در موارد شدیدتر، باعث «فلوروزیس» شود که در آن لکههای قهوهای رنگی روی دندانها به وجود میآیند. کودکانی که خمیردندان را دائم قورت میدهند و افرادی که از فلوراید زیاد (هم در آب و هم به صورت قرص) استفاده میکنند، بیشتر در معرض ابتلا به فلوروزیس هستند.
۹. خونریزی
مصرف بعضی داروها مثل آسپیرین و داروهای ضدانعقاد، با جلوگیری از ایجاد لخته باعث خونریزی در قسمت دهان میشود. این مشکل بهخصوص در زمانی که نیاز به جراحی لثه وجود دارد، مشکلساز خواهد شد بنابراین حتما باید مصرف آنها را به دندانپزشک اطلاع داد.
۱۰. پوکیاستخوان
بعضی داروها باعث کم شدن تراکم استخوان میشوند این مشکل بهخصوص در زمان قرار دادن ایمپلنت در فک، میتواند باعث بروز مشکلاتی شود.
منابع: WebMD، ADA
منبع:دندانه

