افزایش آمار صدمات ناشی از انفجار سیگار الکترونیکی در امریکا

انفجار سیگارهای الکترونیکی در آمریکا سبب سوختگی، از دست دادن اجزای صورت و حتی مرگ شده است، این در حالی است که سازمان غذا و داروی امریکا در برابر این حوادث موضع بیطرفانهای گرفته است
ژورنال پزشکی بریتانیا (BMJ)، در مقالهای که بر اساس یک مطالعه مبنی بر شواهد انجام شده است، میزان حوادث اینچنینی را بررسی کرده است. در این مطالعه آمده است انفجار سیگارهای الکترونیکی به دلیل نواقص باطریهای آنها رخ میدهد و میزان مراجعه به دلیل بروز این قبیل تروماها به اورژانس بیمارستانهای آمریکا بین سالهای ۲۰۱۵ تا ۲۰۱۷، ۲۰۳۵ مورد بوده است.
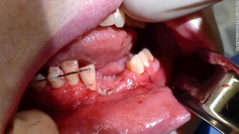
سیانان در اشاره به آسیبهای جدی که انفجار سیگارهای الکترونیکی ایجاد کرده است، میگوید سال ۲۰۱۹ مردی در ایالت تگزاس به دلیل بروز این اتفاق و پارگی شریان کاروتید و همچنین سال ۲۰۱۸ مردی در ایالت فلوریدا به دلیل اصابت ترکشهای سیگار به سرش جان باخته است که البته این دو نفر سیگارهای بزرگتر با باطریهای قویتر میکشیدهاند. گفتنی است مواردی از سوختگی صورت و بدن یا از دست دادن اجزای صورت و دندانها هم از بیمارستانهای آمریکا گزارش شده است.
موضع بیطرفانه FDA
آنچه توجه رسانههای آمریکایی را به خود جلب کرده، موضع بیطرفانه سازمان غذا و داروی این کشور (FDA) در مورد برخی سیگارهای الکترونیکی بیکیفیت است. به طوریکه این سازمان به یک هشدار در مورد آنها بسنده کرده و دستور ریکال آنها را صادر نمیکند.
سال ۲۰۱۸، یک کارخانه سیگار الکترونیکی به نام R.J. Reynolds Vapor، به طور داوطلبانه ۲/۶میلیون سیگار خود را به دلیل مشکلات باطری به طور داوطلبانه ریکال کرد و این در حالی است که FDA تنها به انتشار یک مقاله با عنوان «نکاتی برای پیشگیری از انفجار باطری سیگارهای الکترونیکی» بسنده کرده است. پزشکان میگویند بسیاری از مردم اصلاً نمیدانند این سیگارها ممکن است منفجر شوند.
*تصویر اصلی مربوط به مصدوم ذکر شده است.
منبع:دندانه
