جرمگیری به مینای دندان آسیب نمیزند!

یکی از سوالات شایع مردم از دندانپزشکان این است که: آیا جرمگیری به دندانها آسیب میزند؟
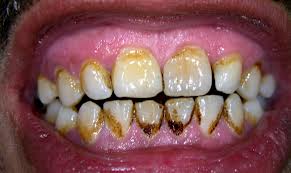
برخی از مردم چنان از آسیب دیدن مینای دندان متعاقب جرمگیری میترسند که حاضرند دندانهای زرد و انباشته از جرمشان را تجمل کنند اما سراغ جرمگیری نروند.
دکتر مروارید مافی، عضو هیاتعلمی دانشکده دندانپزشکی جندی شاپور اهواز، در گفتگویی مفصل با خبرگزاری ایسنا، به برخی از پرسشها و دغدغههای مردم درباره درمان جرمگیری پاسخ داده است:
یک متخصص جراحی لثه و ایمپلنت در پاسخ به برخی اظهارنظرها مبنی بر اینکه جرم گیری به مینای دندان آسیب میرساند، گفت: این باور هیچ گونه مستندات علمی ندارد، زیرا مینای دندان ماده بسیار محکمی است.
دکتر مروارید مافی اظهار کرد: دندانها اعضای مهمی از بدن هستند و هرکدام نقش مهمی در سیستم جونده فرد و نحوه تغذیه وی بازی میکنند. علاوه بر این، دندانها در زیبایی چهره نیز نقش بسیار مهمی دارند. اینکه ما ۳۲ دندان در دهان داریم، نباید عامل بیتوجهی به آنها باشد. همان طور که فرد برای کار کردن به همه انگشتان دست خود نیاز دارد، برای حفظ زیبایی چهره و تغذیه مناسب نیز به همه دندانهای خود نیاز دارد.
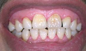
وی افزود: توصیه میشود بر اساس زمان پیشنهادی دندانپزشک یا جراح لثه، به طور دورهای و معمولا یک تا دو مرتبه در سال برای معاینه دندانها، لثهها و در صورت لزوم جرم گیری دندانها اقدام شود. حتی اگر در حال حاضر دیر اقدام کردهاید و لثههایتان ملتهب هستند و هنگام مسواک زدن یا غذا خوردن خونریزی میکنند، میتوانید با جرم گیری و رعایت بهداشت در توقف بیماری ایجاد شده، تلاش کنید.
استادیار دانشکده دندانپزشکی دانشگاه جندی شاپور اهواز بیان کرد: از تجمع مواد، املاح موجود در بزاق و باکتریها، پلاک میکروبی روی دندانها تشکیل میشود که حاوی بیش از یکصدهزار باکتری است. در واقع پلاک همان ماده سفیدرنگی است که وقتی برای مدتی از مسواک استفاده نمیشود، روی دندانها تجمع مییابد. اگر این پلاک به خوبی از سطح دندان پاک نشود، به مرور زمان حالت معدنی و محکم به خود گرفته و تبدیل به جرم میشود. جرم و پلاک میکروبی روی آن، علت بروز بیماریهای لثهای، خون ریزی از لثهها، تحلیل لثه و تحلیل استخوان نگهدارنده دندانها است.
وی گفت: آثار منفی جرم و پلاک تنها محدود به دهان و دندانها نبوده و میتواند پیامدهای مضری برای کل بدن نیز داشته باشد. بروز التهاب و عفونت در لثهها منجر به تولید عوامل التهابی در بدن و جریان خون میشود و این عوامل التهابی میتوانند بر روی سایر اندامها آثار مخربی داشته باشند. به طور مثال التهاب لثهها در زنان باردار میتواند ریسک زایمان زودرس یا تولد نوزاد با وزن کم را افزایش دهد.
این متخصص بیماریهای لثه عنوان کرد: التهاب لثهها و عوامل التهابی ناشی از آنها میتواند ریسک بروز سکتههای قلبی و مغزی را نیز افزایش دهد. همچنین التهاب لثهها در افراد مبتلا به بیماری قند یا دیابت میتواند کنترل قند خون را دچار اختلال کند و فرد مجبور میشود از دارو یا انسولین بیشتری جهت کنترل قند خون خود استفاده کند.
مافی اظهار کرد: برخی افراد معتقد هستند که جرم گیری به مینای دندان آسیب میرساند. متاسفانه این باور رواج یافته، هیچ گونه مستندات علمی ندارد زیرا مینای دندان ماده بسیار محکمی است. برای تراشیدن دندانهای پوسیده از وسیلهای به نام توربین استفاده میشود که سر آن دارای یک فرز است و این فرز با سرعت ۵۰۰ تا ۶۰۰ هزار دور در دقیقه میچرخد؛ در حالی که وسایلی که برای جرم گیری استفاده میشوند، فاقد فرز هستند.
وی افزود: بر اثر لرزش مختصری که در نوک قلمهای جرم گیری ایجاد میشود، جرمها شکسته شده و از سطح دندانها جدا میشوند. این لرزش در حداکثر قدرت خود به ۴۰ تا ۵۰ هزار لرزش در دقیقه میرسد که اصلا قابل قیاس با قدرتی که برای تراشیدن و آسیب رساندن به مینای دندان است، نیست.
استادیار دانشکده دندانپزشکی دانشگاه جندی شاپور اهواز با اشاره به اینکه بعضی از افراد فکر میکنند که پس از جرم گیری در بین دندانهایشان فاصله ایجاد شده یا دندانها لق شدهاند، گفت: معمولا در حالت عادی یک فضای مختصر بین دندانها وجود دارد و این همان فضایی است که توصیه میشود آن را با استفاده از نخ دندان تمیز کرد. وقتی دندانها با نخ تمیز نشوند و پلاک بین دندانها باقی بماند، این پلاک به مرور زمان به جرم تبدیل میشود و فضای بین دندانها را میبندد.
وی افزود: به مرور زمان تجمع جرم در بین دندانها منجر به تحلیل لثه و استخوان زیرین آن میشود. فضای کوچکی که بر اثر این تحلیل ایجاد میشود نیز با جرم و پلاک پر میشود و این روند تخریبی ادامه پیدا میکند تا زمانی که دندان قسمت زیادی از استخوان نگهدارنده خود را از دست میدهد و دچار لقی میشود.
مافی عنوان کرد: متاسفانه وقتی دندانها لق شوند، امکان انجام درمان موثری که لقی آنها را برطرف کند، وجود ندارد و معمولا این دندانها باید از دهان خارج شوند تا استخوان بیشتر از این تخریب نشود و امکان قرار دادن ایمپلنت از بین نرود. وقتی جرمهای بین دندانی حذف میشوند، فضایی که به طور عادی در بین دندانها وجود داشته یا بر اثر تخریب لثه و استخوان ایجاد شده، نمایان میشود و فرد تصور میکند که به دلیل جرم گیری این فضا ایجاد شده است، غافل از اینکه تجمع جر مها و عدم انجام جرم گیری در زمان مناسب علت ایجاد این فضا بوده است.
وی گفت: در بعضی افراد ممکن است یک حساسیت دندانی گذرا پس از جرم گیری ایجاد شود که به دلیل چسبندگی جرمها به ریشه دندانها و آسیب رساندن به ریشه دندان است. پس از انجام جرم گیری و استفاده از خمیردندانهای ضدحساسیت موجود در بازار به مدت سه تا چهار هفته، معمولا این حساسیت از بین میرود و مشکل خاصی وجود ندارد.
منبع:دندانه



