حساسیت دندان پس از جرمگیری طبیعی است

دکتر میترا برادران
دندانپزشک
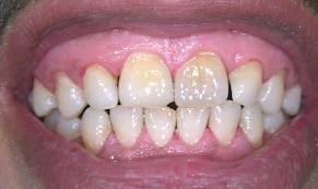
لکههای سیاه دندانی نشانهای از پوسیدگی دندان است و اغلب تغییر رنگها به علت تشکیل رسوبات دندانی است. جرمهای دندان لثه را تخریب میکنند و در نهایت باعث لق شدن دندانها میشوند بدون اینکه دندان مشکلی داشته باشد.
اغلب افراد هر تغییر رنگی را که در دندانها ایجاد میشود جرم مینامند، مردم برای رفع این مشکل و جرمگیری به پزشک مراجعه میکنند در حالی که یکسری از تغییر رنگها بر روی دندان، در واقع پوسیدگیهایی هستند که به صورت سیاه رنگ دیده میشود و در مراحل پیشرفته به صورت حفره در میآیند و در نهایت موجب پوسیدگی دندان میشوند.
یکسری از تغییر رنگها در ساختمان دندان وجود دارند و دائمی هستند و با جرمگیری از بین نمیرود و با تراش دندان باز هم لکهها وجود دارند. این تغییر رنگها یا ناشی از مصرف دارو در زمان رشد جوانه دندان و یا به علت نقص تکاملی دندانها و کمبود املاح مختلف در زمان تشکیل دندان است.
برخی از تغییر رنگهای دندانی ناشی از افزایش فلوراید آب مصرفی (فلوئوروزیس) است، نوع رایج تغییر رنگها ناشی از موادی هستند که به طور معمول مصرف میشود و رسوباتی که بر روی دندان تشکیل میشود. این رسوبات یا به صورت رنگدانه و یا به صورت جرم هستند که لثه را تخریب میکنند و در نهایت باعث لق شدن دندانها میشوند بدون اینکه خود دندان مشکلی داشته باشد.
این جرمها با جرمگیری از بین میروند.
بزاقها به طور معمول دارای املاح زیادی است که قدرت رسوب کردن را دارند. این املاح اغلب در نقاطی که با غذا و مسواک کمتر در تماس است رسوب میکنند.
این املاح با ایجاد بستر مناسب برای جایگزینی، با رشد و تکثیر میکروبهایی که به طور طبیعی در دهان وجود دارد، همراه است. افزوده شدن پروتئینهای موجود در غذا و بزاق و لاشه سلولهای مرده بافتهای مختلف دهان در مجموع باعث افزایش حجم این رسوبات شده و به مرور جرم تشکیل میشود که قابل مشاهده است.
آنچه مهم است این است که اغلب مقدار کمی از جرم تشکیل شده روی دندانها قابل مشاهده است. قسمت عمده این جرم با تخریب لثه در زیر لثه جایگزین میشود و از دید مستقیم پنهان میماند.
نکته مهمتر این است که جرمهای تشکیل شده مملو از میکروبهای مختلف است و با مسواک زدن هم تمیز نمیشود. این میکروبها بین ۲۰ تا ۶۰ درصد جرم را تشکیل میدهد و بافت چسبنده لثه را که محکم به دندان چسبیده و بافت نگهدارنده حیاتی لثه را تخریب میکند و باعث سست شدن پایههای دندان میشود که با جرمگیری و تمیز کردن این جرمهای تشکیل شده بر روی دندان میتوان از روند تخریب لثه جلوگیری کرد.
جرمهای تشکیل شده بر روی دندانها به مرور، باعث آزردگی لثهها میشوند. این امر چون به تدریج اتفاق میافتد، بیمار متوجه عقبنشینی لثه نمیشود. لثهای که عقبنشینی میکند با جرمگیری جایگزین میشود و فضای خالی که بین دندانها در اثر عقبنشینی لثه هم ایجاد میشود از دید بیمار پنهان میماند.
هنگامی که بیمار برای جرمگیری به مطب دندانپزشکی مراجعه میکند، لثه تحلیل رفته، در معرض دید بیمار قرار میگیرد. در این حالت بیمار به اشتباه احساس میکند که جرمگیری باعث از بین رفتن لثه میشود در حالی که پیش از آن این اتفاق صورت گرفته بود اما بیمار متوجه نشده بود.
نکته مهم این است که با دقت در نحوه مسواک زدن، تشکیل جرم به حداقل می رسد و حساس شدن دندانها پس از جرم گیری طبیعی است و به مرور برطرف میشود.
منبع:دندانه
